NATOFEMIN laboratory
 
 

[HOME][PRODUCT] [To FOOD MAKERS] [To DRUG STORES] [ON-LINE SHOPPING] [SAMPLE PRESENT ] [LABORATORY ] [about us] [mail]


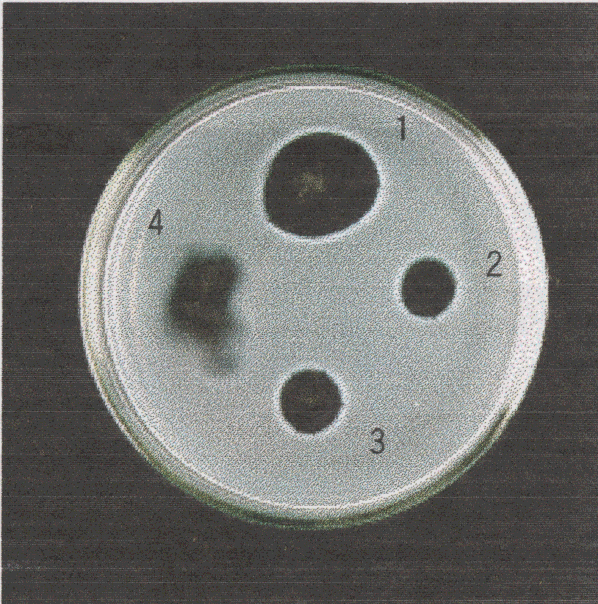
The artificial thrombus dissolution experiment using NATOFEMIN(nattokinase content food)  .
It was proved that NATOFEMIN had strong nattokinase activity .
1 is the artificial thrombus melted by NATOFEMIN and diffused.
(nattokinase activity 1>3> 2> 4)

The photograph offered by Professor Hiroyuki Sumi of Kurashiki University of Science and the Arts.



[HOME][PRODUCT] [To FOOD MAKERS] [To DRUG STORES] [ON-LINE SHOPPING] [SAMPLE PRESENT ] [LABORATORY ] [about us] [mail]