抗がん剤と角膜障害 2025.7
抗がん剤を使い始めた人が見えにくくなったと受診しました。抗がん剤によって角膜の障害が
起きることがあります
下の図は角膜の構造です。黒目の表面にあるのが角膜です。角膜は5層からできています。一番表面
が角膜上皮といいます。角膜上皮は右図のように涙に覆われていますが、常に外部にむき出しになっ
ているので非常に傷つきやすいです。そのために古い細胞が新しい細胞に生まれ変わるターンオーバ
ーのサイクルは皮膚などよりずっと短く、数日で角膜上皮の細胞が入れ替わっています。

抗がん剤によって角膜上皮障害が起きる仕組み
涙の中に入った抗がん剤が角膜上皮を障害する
角膜の周囲の白目の血管から抗がん剤が漏れ出て角膜上皮を障害する
角膜上皮細胞の増殖が抗がん剤で抑制される
→ 細胞の脱落が増え、再生が遅いので障害がおきる
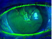
抗がん剤(S-1)を3ヶ月使用中でした。左は初診時の角膜です。
上方に角膜の障害があります。 右は抗がん剤を中止して2週間後です。
傷が浅く小さくなっています。 2ヶ月して正常な状態になりました。

抗がん剤によって涙道の閉塞も起きます
S-1(胃がん・結腸がん・直腸がんに使用)を使うと16%に生じます。抗がん剤の成分が涙に溶けて
涙の流れ道を傷つけて塞ぎます。流涙や眼脂が多くなります。使用開始から3ヶ月以内に始まること
が多いので、S-1を使うときは眼科での定期検査をお勧めします。
戻る